Διαπερινεϊκή Fusion Βιοψία Προστάτη
Ο Ρόλος της Πολυπαραμετρικής Μαγνητικής Τομογραφίας Προστάτη
Πώς βοηθάει η πολυπαραμετρική μαγνητική στη διάγνωση του καρκίνου του προστάτη και στη βιοψία; (Βλ. Εικόνα 1)
Η πολυπαραμετρική μαγνητική τομογραφία προστάτη (mpMRI) είναι μια προηγμένη τεχνική απεικόνισης που χρησιμοποιείται για την ανίχνευση και αξιολόγηση του καρκίνου του προστάτη. Παρέχει λεπτομερείς εικόνες του προστάτη και των γύρω ιστών, βοηθώντας τους γιατρούς να καθοδηγήσουν τις βιοψίες. Ο ρόλος της πολυπαραμετρικής μαγνητικής τομογραφίας προστάτη στην βιοψία προστάτη και γενικότερα στις παθήσεις του προστάτη είναι σημαντικός και συμβάλλει ουσιαστικά ως εξής.
Α) Καθορίζει σε σημαντικό βαθμό ποιοι ασθενείς θα κάνουν βιοψία προστάτη: Ασθενείς που έχουν κλινική υποψία για καρκίνο του προστάτη (πχ PSA που αυξάνεται), υποβάλλονται σε πολυπαραμετρική μαγνητική τομογραφία προστάτη και αν η πολυπαραμετρική μαγνητική τομογραφία προστάτη αναδείξει μεγάλη υποψία για καρκίνο του προστάτη (PIRADS 5 & 4 και σε ορισμένες περιπτώσεις και PIRADS 3) τότε ο ασθενής πρέπει να υποβληθεί σε βιοψία προστάτη
Β) Ακριβέστερη ανίχνευση όγκων: Η mpMRI μπορεί να αναδείξει ύποπτες περιοχές που μπορεί να μην είναι ορατές σε άλλες μορφές απεικόνισης, βοηθώντας στον ακριβέστερο εντοπισμό του καρκίνου.
Γ) Ακριβέστερη καθοδήγηση: Οι ουρολόγοι μπορούν να χρησιμοποιήσουν τα αποτελέσματα της mpMRI για να κατευθύνουν τις βιοψίες σε συγκεκριμένες ύποπτες περιοχές, αυξάνοντας έτσι την ακρίβεια της διάγνωσης.
Δ) Μείωση των περιττών βιοψιών: Βοηθά στον εντοπισμό περιπτώσεων όπου η βιοψία μπορεί να μην είναι απαραίτητη, με αποτέλεσμα τη μείωση των περιττών επεμβάσεων.
Ε) Σχεδιασμού της θεραπείας: Η λεπτομερής απεικόνιση βοηθά στο σχεδιασμό της κατάλληλης θεραπείας αναλόγως με την έκταση και την επιθετικότητα του όγκου.
Συνολικά, η mpMRI είναι ένα πολύτιμο εργαλείο για τη βελτίωση της διάγνωσης και της θεραπείας του καρκίνου του προστάτη.
Είναι σημαντικό να τονιστεί ότι η πολυπαραμετρική μαγνητική τομογραφία προστάτη είναι ειδική εξέταση που συμβάλλει στην αναγκαιότητα πραγματοποίησης βιοψίας προστάτη και δεν είναι η ίδια εξέταση με την απλή μαγνητική τομογραφία προστάτη. Η απλή μαγνητική τομογραφία προστάτη δεν είναι ικανή να συμβάλει ούτε στην διάγνωση, ούτε στην στόχευση της βιοψίας και έχει διαφορετικό διαγνωστικό ρόλο.

Εικόνα 1: Σχεδιασμός του προστάτη (κόκκινο σχεδιάγραμμα) και σχεδιασμός της βλάβης (μπλε σχεδιάγραμμα).Με τον τρόπο αυτό σχεδιάζεται η βλάβη και ο ουρολόγος εν συνεχεία με την Fusion βιοψία προστάτη λαμβάνει στοχευμένες βιοψίες (Εικόνα από την συλλογή της Medcom).
Πότε θα κάνω βιοψία με βάση την πολυπαραμετρική μαγνητική τομογραφία προστάτη;
Η απόφαση για το πότε θα γίνει βιοψία προστάτη βασιζόμενη στη πολυπαραμετρική μαγνητική τομογραφία του προστάτη (mpMRI) εξαρτάται από διάφορους παράγοντες και η απόφαση θα πρέπει να λαμβάνεται από τον ουρολόγο σας, που λαμβάνει υπόψη τα εξής:
- Αποτελέσματα της mpMRI: Εάν η πολυπαραμετρική μαγνητική τομογραφία δείξει ύποπτες περιοχές στον προστάτη, ο γιατρός μπορεί να συστήσει βιοψία για να επιβεβαιώσει την ύπαρξη ή όχι καρκινικών κυττάρων.Ύποπτες για καρκίνο προστάτη περιοχές θεωρούνται οι βλάβες κατηγορίας PIRADS 5 & PIRADS 4 και σε αυτές τις ύποπτες περιοχές θα πρέπει πάντα γίνεται βιοψία προστάτη.
Στην κατηγορία PIRADS 3 μπορεί και πάλι να γίνει βιοψία προστάτη λαμβάνοντας υπόψιν ωστόσο και άλλους παράγοντες που θα κρίνουν την αναγκαιότητα για βιοψία όπως για παράδειγμα αν έχει προηγηθεί βιοψία, ο ρυθμός αύξησης του PSA.
Είναι αναγκαίο να τονιστεί πως η Πολυπαραμετρική μαγνητική τομογραφία αν και αποτελεί βασικό κριτήριο για την πραγματοποίηση ή όχι μίας βιοψίας προστάτη δεν είναι το μοναδικό κριτήριο και η αναγκαιότητα για βιοψία κρίνεται και από τα εξής:
- Επίπεδα PSA: Αυξημένα επίπεδα του ειδικού προστατικού αντιγόνου (PSA) μπορεί να υποδηλώνουν την ανάγκη για περαιτέρω διερεύνηση μέσω βιοψίας.
- Κλινική εξέταση δακτυλικής:Η θετική δακτυλική όπου ο ουρολόγος μπορεί να ψηλαφήσει ύποπτη σκληρή περιοχή αποτελεί ένδειξη για βιοψία προστάτη ανεξάρτητα από το αποτελέσματα της πολυπαραμετρικής μαγνητικής τομογραφίας προστάτη
- Ιστορικό και Συμπτώματα: Ο γιατρός σας θα εξετάσει τυχόν υπάρχοντα συμπτώματα ή οικογενειακό ιστορικό καρκίνου του προστάτη που μπορεί να επηρεάσει την απόφαση για βιοψία.
- Προηγούμενες Βιοψίες: Εάν έχουν προηγηθεί βιοψίες που ήταν αρνητικές, αλλά ανησυχητικά ευρήματα συνεχίζουν να υπάρχουν, μπορεί να χρειαστεί επαναληπτική αξιολόγηση.
Ο γιατρός σας θα συζητήσει τους πιθανούς κινδύνους και τα οφέλη της διενέργειας βιοψίας με βάση τα παραπάνω δεδομένα και θα σας συμβουλεύσει ανάλογα με τη συγκεκριμένη περίπτωση.
Τι είναι η κατάταξη PIRADS;
Η κατάταξη PIRADS (Prostate Imaging Reporting and Data System) είναι ένα σύστημα που αναπτύχθηκε για την τυποποίηση της αξιολόγησης και της αναφοράς των ευρημάτων από την πολυπαραμετρική μαγνητική τομογραφία (mpMRI) του προστάτη. Το σύστημα αυτό βοηθάει στην εκτίμηση της πιθανότητας ύπαρξης κλινικά σημαντικού καρκίνου του προστάτη.
Το PIRADS χρησιμοποιεί μια κλίμακα από 1 έως 5:
- PIRADS 1: Πολύ χαμηλή πιθανότητα καρκίνου. Οι αλλοιώσεις είναι σχεδόν σίγουρα καλοήθεις.
- PIRADS 2: Χαμηλή πιθανότητα καρκίνου. Οι αλλοιώσεις είναι πιθανότερο να είναι καλοήθεις παρά κακοήθεις.
- PIRADS 3: Ένδειξη αμφιβολίας. Οι αλλοιώσεις έχουν ασαφή χαρακτηριστικά και η πιθανότητα καρκίνου είναι απούσα ή ίση με την πιθανότητα καλοήθους ανωμαλίας.
- PIRADS 4: Υψηλή πιθανότητα καρκίνου. Οι αλλοιώσεις είναι ύποπτες για κακοήθεια.
- PIRADS 5: Πολύ υψηλή πιθανότητα καρκίνου. Οι αλλοιώσεις είναι σχεδόν σίγουρα κακοήθεις.
Η κατάταξη αυτή βοηθά τους κλινικούς ιατρούς στη λήψη αποφάσεων σχετικά με την ανάγκη για περαιτέρω διερεύνηση, όπως η διενέργεια βιοψίας, και στον καθορισμό της κατάλληλης θεραπευτικής αντιμετώπισης.
Πότε θα κάνω βιοψία με βάση το PIRADS;
Η απόφαση για τη διενέργεια βιοψίας προστάτη με βάση την κατάταξη PIRADS εξαρτάται από την εκτίμηση του γιατρού σας, αλλά γενικά ακολουθούνται οι παρακάτω κατευθύνσεις:
PIRADS 4 ή 5: Εάν η κατάταξη είναι PIRADS 4 ή 5, αυτό υποδηλώνει υψηλή ή πολύ υψηλή πιθανότητα ύπαρξης κλινικά σημαντικού καρκίνου του προστάτη. Σε αυτές τις περιπτώσεις, συχνά συστήνεται βιοψία για να επιβεβαιωθεί ή να αποκλειστεί η διάγνωση.
PIRADS 3: Εάν η κατάταξη είναι PIRADS 3, η απόφαση για βιοψία δεν είναι πάντα άμεση. Ο γιατρός σας μπορεί να προτείνει παρακολούθηση ή επιπλέον εξετάσεις, ανάλογα με άλλους παράγοντες όπως το ιστορικό PSA, ηλικία, γενική υγεία και συμπτώματα.
PIRADS 1 ή 2: Σε περιπτώσεις PIRADS 1 ή 2, όπου η πιθανότητα καρκίνου είναι χαμηλή, συνήθως δεν απαιτείται βιοψία, και μπορεί να συστηθεί παρακολούθηση.
Είναι σημαντικό να συζητήσετε με τον γιατρό σας τα αποτελέσματα της mpMRI και την κλινική σας εικόνα για να ληφθεί η καλύτερη απόφαση σχετικά με τη βιοψία.
Χρειάζεται βιοψία αν έχω κατηγορία PIRADS 1 ή 2;
Συνήθως, δεν χρειάζεται βιοψία αν έχετε PIRADS 1 ή 2, καθώς αυτές οι κατατάξεις υποδηλώνουν πολύ χαμηλή ή χαμηλή πιθανότητα ύπαρξης καρκίνου του προστάτη.
Συγκεκριμένα:
PIRADS 1: Πολύ χαμηλή πιθανότητα καρκίνου. Οι αλλοιώσεις είναι σχεδόν σίγουρα καλοήθεις.
PIRADS 2: Χαμηλή πιθανότητα καρκίνου. Οι αλλοιώσεις είναι πιθανότερο να είναι καλοήθεις παρά κακοήθεις.
Σε αυτές τις περιπτώσεις, οι γιατροί συχνά προτείνουν παρακολούθηση αντί για άμεση βιοψία. Ωστόσο, είναι πάντα σημαντικό να συζητήσετε τα προσωπικά σας αποτελέσματα και τη γενική σας υγεία με τον ουρολόγο σας, ο οποίος μπορεί να προτείνει την κατάλληλη προσέγγιση ανάλογα με τα επίπεδα του PSA ή τη δακτυλική εξέταση.
Παιζει ρόλο η ποιότητα της πολυπαραμετρικής μαγνητικής τομογραφίας προστάτη;
Ναι, η ποιότητα της πολυπαραμετρικής μαγνητικής τομογραφίας (mpMRI) του προστάτη παίζει σημαντικό ρόλο στην ακρίβεια της διάγνωσης και στην αξιολόγηση πιθανών όγκων. Ακολουθούν μερικοί τρόποι με τους οποίους η ποιότητα της απεικόνισης επηρεάζει τα αποτελέσματα:
- Διακριτική Ικανότητα: Μια υψηλής ποιότητας mpMRI μπορεί να αναδείξει λεπτομέρειες και ανωμαλίες στον ιστό του προστάτη, επιτρέποντας στους γιατρούς να εντοπίσουν ύποπτες περιοχές πιο εύκολα.
- Ακρίβεια Ερμηνείας: Όταν οι εικόνες είναι καθαρές και χωρίς τεχνικές δυσκολίες, οι ειδικοί είναι σε θέση να κάνουν πιο ακριβείς διαγνώσεις και να αποκλείσουν άλλες παθήσεις.
- Σωστή κατάταξη PIRADS: Η ποιότητα της απεικόνισης επηρεάζει την ακρίβεια της κατάταξης PIRADS. Οι καλές εικόνες διευκολύνουν τη σωστή διάκριση ανάμεσα σε καλοήθεις και κακοήθεις αλλοιώσεις.
- Καθοδήγηση Βιοψίας: Η ποιότητα της mpMRI είναι κρίσιμη για την ακριβή καθοδήγηση της βιοψίας, καθώς δημιουργεί σιγουριά στους γιατρούς σχετικά με το πού να στοχεύσουν.
Ως εκ τούτου, είναι πολύ σημαντικό να γίνονται οι εξετάσεις σε καλά εξοπλισμένα κέντρα με έμπειρους τεχνικούς και ιατρούς, ώστε να διασφαλιστεί η καλύτερη δυνατή ποιότητα της mpMRI.
Διαπερινεϊκή fusion
Που βοηθάει η διαπερινεϊκή πρόσβαση; (Βλ. Εικόνα 2)
Το περίνεο ανατομικά είναι η περιοχή μεταξύ όρχεων και πρωκτού. Στην διαπερινεϊκή βιοψία προστάτη το υπέρηχο που απεικονίζεται ο προστάτης μπαίνει στο ορθό, αλλά οι λήψεις των δειγμάτων βιοψιών γίνεται από την περιοχή του περινέου και το έντερο αποφεύγεται εντελώς.
Η διαπερινεϊκή πρόσβαση (transperineal) στη βιοψία προστάτη είναι μια μέθοδος που χρησιμοποιείται για τη λήψη δειγμάτων ιστού από τον προστάτη, και έχει αρκετά οφέλη:
- Μειωμένος κίνδυνος λοίμωξης: Η διαπερινεϊκή πρόσβαση έχει αποδειχθεί ότι περιορίζει τον κίνδυνο λοίμωξης σε σύγκριση με την διορθική (transrectal) προσέγγιση, καθώς η περιοχή εισόδου δεν είναι πρακτικά εκτεθειμένη στην εντερική χλωρίδα.Στην διορθική βιοψία τα δείγματα λαμβάνονται μέσω του εντέρου μιας ρυπαρής περιοχής γεμάτης κόπρανα.
- Καλύτερη Γενική Ασφάλεια: Αυτή η μέθοδος μπορεί να είναι πιο ασφαλής, ειδικά για ασθενείς με ιστορικό λοιμώξεων στον προστάτη ή άλλες σχετικές παθήσεις (πχ φλεγμονώδεις νόσους του εντέρου) που τους καθιστούν πιο ευάλωτους.
- Δεν τραυματίζεται το έντερο με αποτέλεσμα να μειώνεται η πιθανότητα αιμορραγίας.
- Πρόσβαση σε δύσκολα ανατομικά περιοχές: Με την περινεϊκή πρόσβαση βλάβες στην πρόσθια ζώνη, στην μεταβατική ζώνη καθώς και στον μέσο λοβό είναι εύκολα προσβάσιμες σε αντίθεση με την διορθική που οι περιοχές αυτές βρίσκονται μακριά από το έντερο. Με τον τρόπο αυτό με την διαπερινεϊκή πρόσβαση όπου και να βρίσκονται οι βλάβες είναι δυνατόν να παρακεντηθούν.
- Μεγαλύτερο & πιο αντιπροσωπευτικό δείγμα βιοψίας: Η λήψη των δειγμάτων δεν γίνεται κάθετα όπως στην διορθική βιοψία καθώς η βελόνα εισάγεται παράλληλα και οριζοντίως του προστάτη με αποτέλεσμα κάθε δείγμα να είναι πιο αξιόπιστο αυξάνοντας την διαγνωστική ακρίβεια της τεχνικής
- Ακριβέστερη Καθοδήγηση: Χρησιμοποιώντας σύγχρονη απεικόνιση (όπως υπερηχογράφημα σε συνδυασμό με mpMRI) για καθοδήγηση, ο γιατρός μπορεί να στοχεύει ακριβώς τις ύποπτες περιοχές του προστάτη.
- Ευκολία στην Εκτέλεση: Η διαπερινεική πρόσβαση καθιστά πιο εύκολη ανατομικά τη λήψη δειγμάτων από πολλές περιοχές του προστάτη με λιγότερη ταλαιπωρία για τον ασθενή.

Εικόνα 2: Η πρόσβαση από το περίνεο αποφεύγει το έντερο και είναι εφικτό να στοχεύσει ακόμα και βλάβες απομακρυσμένες όπως στην πρόσθια ζώνη και στον μέσο λοβό Συνολικά, η διαπερινεϊκή πρόσβαση είναι μια χρήσιμη επιλογή στη βιοψία προστάτη και προσφέρει πλεονεκτήματα όσον αφορά την ασφάλεια και την ακρίβεια. Η πρόσβαση από το περίνεο αποφεύγει το έντερο και είναι εφικτό να στοχεύσει ακόμα και βλάβες απομακρυσμένες όπως στην πρόσθια ζώνη και στον μέσο λοβό. Συνολικά, η διαπερινεϊκή πρόσβαση είναι μια χρήσιμη επιλογή στη βιοψία προστάτη και προσφέρει πλεονεκτήματα όσον αφορά την ασφάλεια και την ακρίβεια.
Πως βοηθάει η διαπερινεϊκή βιοψία στην μείωση των λοιμώξεων;
Η διαπερινεϊκή βιοψία προστάτη βοηθά στη μείωση των λοιμώξεων λόγω των εξής παραγόντων:
- Αποφυγή Επαφής με το περιεχόμενο του εντέρου: Σε αντίθεση με τη διoρθική βιοψία (transrectal biopsy), η διαπερινεϊκή βιοψία (transperineal biopsy) αποφεύγει τη διείσδυση στο ορθό, το οποίο φιλοξενεί ένα μεγάλο αριθμό μικροοργανισμών. Αυτό μειώνει την πιθανότητα εισαγωγής βακτηρίων στην κυκλοφορία του αίματος ή στον προστάτη κατά τη διάρκεια της διαδικασίας.
- Μείωση των Σημείων Εισόδου για Λοίμωξη: Η διαπερινεϊκή fusion βιοψία και η χρήση απεικόνισης από εικόνες μαγνητικής για καθοδήγηση κατά τη διάρκεια της βιοψίας επιτρέπουν στους γιατρούς να στοχεύουν ακριβώς τις ζώνες του προστάτη περιορίζοντας τον απαιτούμενο αριθμό βιοψιών και τις πολλαπλές εισόδους της βελόνης μειώνοντας δραστικά την πιθανότητα λοίμωξης.Αυτό σημαίνει ότι η διαδικασία μπορεί να είναι πιο αποτελεσματική με λιγότερες τυχαίες βιοψίες που θα μπορούσαν να προκαλέσουν μολύνσεις.
- Χρήση τοπικής αντισηψίας: Η διαδικασία μπορεί να εκτελείται με τοπική αντισηψία, που συμβάλλει στη μείωση της ανάγκης για προηγούμενη αντιβιοτική προφύλαξη, αν και η προφυλακτική χρήση αντιβιοτικών εξακολουθεί να εξετάζεται.
- Μείωση της ενδονοσοκομειακής νοσηλείας: Η εφαρμογή της διαπερινεϊκής βιοψίας μπορεί να μειώσει τη συχνότητα των λοιμώξεων που απαιτούν νοσηλεία ή επαφή με το νοσοκομειακό περιβάλλον.
Αυτοί οι παράγοντες συμβάλλουν στο να καθιστούν τη διαπερινεϊκή βιοψία μια πιο ασφαλή επιλογή όσον αφορά τους κινδύνους λοιμώξεων. Ωστόσο, οι ιατρικές αποφάσεις θα πρέπει πάντα να εξατομικεύονται με βάση τις συνθήκες και τα χαρακτηριστικά του ασθενή.
Αν έχω μικρή βλάβη στην πρόσθια ζώνη ή στον μέσο λοβό μπορώ με την διαπερινεϊκή βιοψία να εξασφαλίσω την λήψη; (Βλ. Εικόνα 3)
Η διαπερινεϊκή πρόσβαση είναι εντελώς διαφορετική από την διορθική και ακόμα και βλάβες σε δύσκολα ανατομικά περιοχές όπως στην πρόσθια ζώνη και στον μέσο λοβό είναι εύκολα προσβάσιμες από το περίνεο.Το περίνεο είναι η ιδανική προσέγγιση καθώς ολόκληρος ο προστάτης είναι σε επαφή με το περίνεο και ο ουρολόγος με βάση τις εικόνες της μαγνητικής μπορεί να κατευθύνει την βελόνα όπου υπάρχει βλάβη.Η πρόσθια ζώνη και ο μέσος λοβός δεν αποτελούν εξαίρεση καθώς με την απλή μετακίνηση της βελόνας προς την επιθυμητή περιοχή λαμβάνεται άνετα δείγμα από τις περιοχές αυτές.Για το λόγο αυτό η διαπερινεϊκή fusion βιοψία προστάτη θεωρείται ότι έχει την μεγαλύτερη διαγνωστική ακρίβεια.

Εικόνα 3: Χαρακτηριστική πρόσθια βλάβη στην κορυφή του προστάτη, μια δύσκολη ανατομική περιοχή που δεν είναι προσβάσιμη εύκολα από το έντερο με την διορθική βιοψία ενώ με την διαπερινεϊκή είναι εφικτό να γίνει η λήψη δείγματος.
Η πολυπαραμετρική μαγνητική τομογραφία αρκεί από μόνη της για την στόχευση και την σωστή στοχευμένη λήψη βιοψιών προστάτη;
Η μαγνητική τομογραφία (mpMRI) παρέχει πολύτιμες πληροφορίες για την ανίχνευση και την εκτίμηση βλαβών στον προστάτη, αλλά δεν αρκεί από μόνη της για την εκτέλεση μιας σωστής και αξιόπιστης βιοψίας.
Κατά την πραγματοποίηση της βιοψίας δεν αρκούν οι εικόνες της μαγνητικής αλλά ο ουρολόγος οφείλει να γνωρίζει να ερμηνεύει τις εικόνες αυτές και να σχεδιάζει από μόνος του τις ύποπτες περιοχές στο ειδικό λογισμικό της Fusion βιοψίας (Βιοψία σύντηξης εικόνων σύστημα BiopSee-Medcom) το οποίο εν συνεχεία κατευθύνει τον ουρολόγο να λάβει βιοψίες από τις σχεδιασμένες ύποπτες περιοχές. Το λογισμικό δηλαδή κατευθύνει τον ουρολόγο να λάβει βιοψίες από τις περιοχές που αυτός σχεδίασε με βάση τις υποδείξεις της μαγνητικής και βέβαια με βάση την προσωπική του γνώση ερμηνείας της μαγνητικής. Αν ο ουρολόγος σχεδιάσει λάθος τις ύποπτες περιοχές τότε το λογισμικό της Fusion βιοψίας προστάτη θα τον κατευθύνει λάθος. Για το λόγο αυτό είναι σημαντικό η βιοψία να πραγματοποιείται από ουρολόγους εκπαιδευμένους που είναι άριστοι γνώστες ερμηνείας των εικόνων της μαγνητικής με εμπειρία στην συγκεκριμένη τεχνική.
Παράλληλα για τη λήψη του δείγματος, οι εικόνες της μαγνητικής θα πρέπει να χρησιμοποιηθούν σε συνδυασμό με την απεικόνιση του υπερήχου με τον οποίο πραγματοποιείται η βιοψία του προστάτη και να γίνει σωστός σχεδιασμός με σωστή σύντηξη των εικόνων του υπερήχου με την μαγνητική από τον ουρολόγο.
Άρα η μαγνητική δεν αρκεί από μόνη της και μπορεί να εντοπίσει βλάβες, αλλά για να επιβεβαιωθεί η διάγνωση καρκίνου, απαιτείται η λήψη ιστού μέσω βιοψίας. Επομένως, η μαγνητική τομογραφία είναι ένα εργαλείο αξιολόγησης και όχι μια τελική διαγνωστική μέθοδος από μόνη της. Ο ειδικά εκπαιδευμένος ουρολόγος είναι αυτός που θα μελετήσει τις βλάβες που ανέδειξε η μαγνητική και θα σχεδιάσει την βλάβη στο ειδικό λογισμικό, ενώ αργότερα θα χειριστεί τον υπέρηχο για την διενέργεια της βιοψίας.
Μπορει να δείχνει βλάβη η μαγνητική αλλά να γίνει λάθος στόχευση;
Ναι, είναι εφικτό μια μαγνητική τομογραφία (mpMRI) να δείχνει ύποπτες βλάβες στον προστάτη, αλλά στη διαδικασία της βιοψίας να υπάρξει λάθος στόχευση. Αυτό μπορεί να συμβεί για διάφορους λόγους:
- Διαφορές στην ερμηνεία των βλαβών από τον ουρολόγο: οι εικόνες mpMRI παρέχουν πληροφορίες για την ανατομία και τις πιθανές βλάβες, αλλά εάν η ερμηνεία των εικόνων δεν είναι ακριβής ή υπάρχουν παρανοήσεις σχετικά με την τοποθεσία των βλαβών, μπορεί να παπρακεντηθούν οι λάθος περιοχές κατά τη διάρκεια της βιοψίας.
- Κακός Σχεδιασμός της Βιοψίας: Εάν οι εικόνες της μαγνητικής δεν συντηχθούν (fusion) σωστά με την εικόνα του υπερήχου, εξαιτίας ελλιπούς εκπαίδευσης του ουρολόγου, μπορεί να υπάρξει λάθος στη στόχευση.
- Μικρές ή Δυσδιάκριτες Βλάβες: Ορισμένες βλάβες μπορεί να είναι μικρές ή να έχουν ασαφή περιγράμματα, γεγονός που καθιστά την ακριβή στόχευση δύσκολη. Επιπλέον, εάν η βλάβη βρίσκεται κοντά σε φυσιολογικούς ιστούς, μπορεί να είναι πρόκληση η σωστή στόχευση. Και σε αυτό το κομμάτι αναδεικνύεται η σημαντικότητα της εκπαίδευσης του ουρολόγου.
- Εικόνες από παλαιά μαγνητική: Εάν έχει περάσει μεγάλο χρονικό διάστημα από την εκτέλεση της πολυπαραμετρικής μαγνητικής τομογραφίας mpMRI μέχρι τη διαδικασία της βιοψίας, μπορεί να έχουν συμβεί αλλαγές στην κατάσταση της βλάβης ή στον προστάτη, επηρεάζοντας την ακριβή στόχευση.
Λόγω αυτών των παραγόντων, είναι σημαντικό η βιοψία να εκτελείται από έμπειρους ιατρούς που κατανοούν τις δυνατότητες και τους περιορισμούς των μαγνητικών τομογραφιών.
Μπορεί να δείχνει βλάβη η πολυπαραμετρική μαγνητική τομογραφία προστάτη, να γίνει σωστή στόχευση και να μην υπάρχει καρκίνος πχ σε PIRADS 5;
Ναι, είναι εφικτό μια μαγνητική τομογραφία (mpMRI) να δείχνει ύποπτη βλάβη που κατατάσσεται σε PIRADS 5 (υψηλή πιθανότητα καρκίνου) και να πραγματοποιείται σωστή στόχευση στη βιοψία, αλλά οι ιστολογικές εξετάσεις να δείχνουν ότι δεν υπάρχει καρκίνος. Αυτό μπορεί να συμβεί για διάφορους λόγους:
- Ψευδώς θετικά αποτελέσματα: Οι μαγνητικές τομογραφίες δεν είναι τέλειες και υπάρχουν περιπτώσεις όπου μια περιοχή μπορεί να εμφανίζεται ως ύποπτη χωρίς να αντανακλά πραγματική κακοήθεια. Ορισμένες καλοήθεις αλλαγές ή φλεγμονώδεις διεργασίες μπορούν να προσομοιάσουν καρκινικές αλλοιώσεις στην απεικόνιση.
- Βλάβες με χαμηλό δυναμικό καρκίνου (μη κλινικά σημαντικού): ορισμένες βλάβες ενδέχεται να είναι καρκίνοι με χαμηλή επιθετικότητα που δεν ανιχνεύονται εύκολα με βιοψία ή δεν προκαλούν την ανάπτυξη επιθετικών καρκινικών κυττάρων που θα ανιχνευτούν κατά τη διάρκεια της διαδικασίας.
- Δειγματοληψία και ποσότητα Ιστού: Αν η βιοψία δεν πάρει δείγμα από την ακριβή περιοχή του καρκίνου ή αν το δείγμα είναι πολύ μικρό, μπορεί να μην είναι επαρκές για την ανίχνευση καρκινικών κυττάρων.
Αυτές οι περιπτώσεις τονίζουν τη σημασία της ολοκληρωμένης εκτίμησης της κλινικής εικόνας του ασθενούς, της σχολαστικής ερμηνείας των απεικονίσεων, καθώς και της συνεργασίας μεταξύ των διαγνωστικών και επεμβατικών προσεγγίσεων. Στην περίπτωση ύποπτων ευρημάτων, οι ουρολόγοι συχνά προτείνουν επιπλέον εξετάσεις ή παρακολούθηση.
Γιατί το βέλτιστο είναι η βιοψία να γίνεται σε κλινική και όχι σε ιατρείο;
Η βιοψία προστάτη είναι μια διαδικασία που μπορεί να περιλαμβάνει ορισμένους κινδύνους και απαιτεί κατάλληλες υποδομές και ιατρική υποστήριξη. Γι’ αυτό το λόγο, το βέλτιστο είναι να διεξάγεται σε κλινική ή νοσοκομείο αντί σε ιατρείο. Ακολουθούν ορισμένοι λόγοι:
- Υποστήριξη Ιατρικής Ομάδας: Σε κλινικές και νοσοκομεία, υπάρχει διαθέσιμη ιατρική ομάδα που περιλαμβάνει ιατρούς(όλων των ειδικοτήτων) και νοσηλευτές που μπορούν να παρέχουν άμεσες υπηρεσίες και φροντίδα. Αυτό είναι κρίσιμο σε περίπτωση επιπλοκών κατά τη διάρκεια ή μετά τη διαδικασία.
- Διαχείριση Επιπλοκών: οι κλινικές παρέχουν τη δυνατότητα άμεσης διαχείρισης επιπλοκών όπως λοίμωξη, αιμορραγία, αλλεργία ή άλλες αντιδράσεις, οι οποίες είναι δυνατό να συμβούν στη διαδικασία αυτή. Η δε εκτέλεση της διαδικασίας από εξειδικευμένους ουρολόγους και όχι από ιατρούς άλλων ειδικοτήτων, αυξάνει τη δυνατότητα καλύτερης διαχείρισης πιθανών επιπλοκών.Παράλληλη η διαχείριση κάποιων επιπλοκών
- Καθαριότητα και Υγιεινή: Οι κλινικές και οι νοσοκομειακές εγκαταστάσεις τηρούν αυστηρότερες προδιαγραφές για καθαριότητα και αποστείρωση, μειώνοντας τον κίνδυνο λοιμώξεων.
- Η Εφαρμογή μέθης είναι κομβική για την σωστή πραγματοποίηση της διαδικασίας καθώς ο σχεδιασμός των βλαβών με βάση την μαγνητική γίνεται με τον ασθενή σε συγκεκριμένη θέση ακινητοποιημένο.Ο ασθενής πρέπει να έχει λάβει βαθιά και σωστή μέθη και να μην κουνιέται για να γίνει σωστά η στόχευση με βάση τον σχεδιασμό των βλαβών. Σε περίπτωση που ο ασθενής για οποιοδήποτε λόγο κουνιέται αν και έχει λάβει μέθη ΜΟΝΟ ΣΕ ΚΛΙΝΙΚΗ είναι δυνατόν να γίνει άμεσα γενική αναισθησία και να ολοκληρωθεί σωστά και με ασφάλεια η διαδικασία.
Συνολικά, η εκτέλεση της βιοψίας προστάτη σε κλινική ή νοσοκομείο προσφέρει μεγαλύτερη ασφάλεια, καλύτερη ποιότητα φροντίδας και άμεση πρόσβαση σε ιατρική υποστήριξη σε περίπτωση αναγκαιότητας.
Ποια η διαδικασία για τον προγραμματισμό και την πραγματοποίηση μιας βιοψίας με την ομάδα AU?
-Από την στιγμή που θα επικοινωνήσετε μαζί μας το πρώτο βήμα είναι ραντεβού για αναλυτική εκτίμηση της μαγνητικής από τους ουρολόγους της ομάδας μας. Έχοντας πραγματοποιήσει πάνω από 800 βιοψίες η ομάδα έχει εξαιρετική εμπειρία στην ερμηνεία της πολυπαραμετρικής μαγνητικής τομογραφίας προστάτη και ως εκ τούτου στον καθορισμό της αναγκαιότητας πραγματοποίησης της βιοψίας.
-Στο ραντεβού γίνεται λήψη ενός εκτεταμένου και αναλυτικού ιατρικού ιστορικού σε ειδικό ηλεκτρονικό σύστημα που αναγράφονται τα πάντα όσον αφορά, την λήψη φαρμάκων, τις επεμβάσεις που έχουν πραγματοποιηθεί και την συννοσηρότητα του ασθενή.
-Στο ιατρικό ιστορικό λαμβάνεται ξεχωριστά ιατρικό ιστορικό για τον προστάτη με την καταγραφή των τιμών του PSA, το αποτέλεσμα της δακτυλικής και βέβαια την ερμηνεία των εικόνων της πολυπαραμετρικής μαγνητικής τομογραφίας προστάτη.Αν κριθεί αναγκαίο να γίνει βιοψία προστάτη δημιουργείται αντίγραφο των εικόνων ώστε εν συνεχεία να γίνει αναλυτικός σχεδιασμός των εικόνων του προστάτη και των βλαβών και να πραγματοποιηθεί σωστά και με ακρίβεια το πλάνο λήψης βιοψιών.
-Ορίζεται ημερομηνία ενώ στον ασθενή θα ζητηθεί να γίνει καλλιέργεια ούρων μερικές μέρες πριν και μόνο εφόσον είναι στείρα θα προχωρήσει η βιοψία. Αν η καλλιέργεια είναι θετική και εμφανίζει μικρόβιο η βιοψία θα επαναπρογραμματιστεί εφόσον ο ασθενής λάβει αντιβίωση και η καλλιέργεια γίνει στείρα για να έχουμε την μέγιστη δυνατή ασφάλεια από λοιμωξιολογικής πλευράς.
-Αν ο ασθενής λαμβάνει αντιπηκτικά ενημερώνεται αναλόγως των αντιπηκτικών και με βάση τις καρδιολογικές οδηγίες για το πότε και πως πρέπει να τα διακόψει ώστε η βιοψία να γίνει με ασφάλεια.
-Ο ασθενής του Advanced Urology λαμβάνει πάντα ενημερωτικό φυλλάδιο που αναγράφεται αναλυτικά όλη η διαδικασία της βιοψίας και των πιθανών επιπλοκών ώστε να γνωρίζει ακριβώς πως θα γίνει η βιοψία και τι πρέπει να αναμένει.
-Ο ασθενής σε όλη την διαδικασία έχει πλην των γιατρών την συνεχή κατεύθυνση και βοήθεια τόσο της γραμματέας της ομάδας, όσο και της νοσηλεύτριας, ώστε όλα να γίνονται εύκολα, γρήγορα και άμεσα χωρίς προβλήματα και άγχος. Ο ασθενής μπορεί ανά πάσα στιγμή να ανατρέξει τηλεφωνικά και να ζητήσει οποιαδήποτε βοήθεια ή πληροφορία για οποιοδήποτε θέμα είτε που αφορά άμεσα την βιοψία ,είτε διαδικαστικό.
-Είτε την προηγούμενη μέρα, είτε την ίδια μέρα (αναλόγως της ώρας) ο ασθενής παρουσιάζεται σε ορισμένη ώρα που του έχει γίνει γνωστή από την γραμματέα της ομάδας μας στην κλινική ώστε να γίνει ο τυπικός προεγχειρητικός έλεγχος(Εξετάσεις αίματος και καρδιογράφημα) καθώς και η αναισθησιολογική εκτίμηση.
Ποια η τεχνική της διαπερινεϊκής Fusion βιοψίας προστάτη της ομάδας AU?
-Την ημέρα της βιοψίας αναλόγως της ώρας ο ασθενής πρέπει να δηλώσει παρών 1 ώρα πριν την βιοψία νηστικός (από φαγητό και υγρά).Ο ασθενής οδηγείται στο δωμάτιο του, αλλάζει με ειδικό ρουχισμό που του δίνεται και εν συνεχεία ειδικός τραυματιοφορέας φέρνει τον ασθενή στην αίθουσα της βιοψίας.
-Ο ασθενής λαμβάνει από την αναισθησιολόγο μέθη, τοποθετείται σε ειδική θέση λιθοτομής (θέση γυναικολογική με τα πόδια τοποθετημένα σε ειδικές μπότες στήριξης ανοιχτά και προς τα πάνω).Η περιοχή του περινέου (μεταξύ όρχεων και πρωκτού ) ξυρίζεται και εφαρμόζεται εκτεταμένη αντισηψία. Αν για οποιοδήποτε λόγο κριθεί αναγκαίο, ο ασθενής μπορεί να λάβει γενική αναισθησία ώστε η βιοψία να ολοκληρωθεί με τον καλύτερο τρόπο.Για παράδειγμα αν ο ασθενής παρόλο που έχει λάβει μέθη κουνιέται αρκετά και επηρεάζει την λήψη των βιοψιών με ακρίβεια τότε ενδέχεται να απαιτηθεί γενική αναισθησία.(Βλ.Εικόνα 4)

Εικόνα 4: Ασθενής με το πόδια καλυμμένα από ειδικό αποστειρωμένο πεδίο σε θέση λιθοτομής, δηλαδή προς τα πάνω και ανοιχτά.
-Οι ουρολόγοι της ομάδας Advanced Urology ( Δρ.Ιωάννης Λεωτσάκος & Δρ.Ι.Καταφυγιώτης) τοποθετούν το CD της μαγνητικής στο ειδικό μηχάνημα με το κατάλληλο λογισμικό(BiopSee-Medcom) και κάνουν τον σχεδιασμό του προστάτη και των βλαβών.(Βλ.Εικόνες 5 & 6)

Εικόνα 5: Μηχάνημα BiopSee με ενσωματωμένο υπέρηχο από την Γερμανική Εταιρεία Medcom με το ειδικό λογισμικό για την πραγματοποίηση στοχευμένων διαπερινεϊκών βιοψιών προστάτη.

Εικόνα 6: Πολυπαραμετρική μαγνητική τομογραφία προστάτη με σχεδιασμό του προστάτη (Κόκκινο πλαίσιο) και ξεχωριστό σχεδιασμό της βλάβης (Μπλε Πλαίσιο).Ο προστάτης και η βλάβη αρχικά σχεδιάζονται και είναι ιδιαίτερα σημαντικό ο ουρολόγος να έχει την κατάλληλη εκπαίδευση στην ερμηνεία των εικόνων της μαγνητικής.
–Εν συνεχεία τοποθετείται το ειδικό υπερηχογράφημα στο ορθό (έντερο) και απεικονίζεται σε πραγματικό χρόνο ο προστάτης και γίνεται η σύντηξη των εικόνων της μαγνητικής με αυτές του υπερήχου. Παράλληλα σχεδιάζονται και προγραμματίζονται τα δείγματα που θα ληφθούν ώστε οι βιοψίες να είναι στοχευμένες και με μεγάλη ακρίβεια να εξασφαλισθεί η λήψη βιοψιών από τις ύποπτες περιοχές. (Βλέπε Εικόνα 7)

Εικόνα 7: Εικόνα υπερήχου του προστάτη που έχει γίνει σχεδιασμός του προστάτη και τις βλάβης ενώ έχουν σχεδιαστεί και προγραμματιστεί τα δείγματα που θα ληφθούν, που είναι στοχευμένα και κατευθυνόμενα.
-Εν συνεχεία λαμβάνονται τα δείγματα των βιοψιών. Για την λήψη των δειγμάτων με ακρίβεια χιλιοστού στο περίνεο εξωτερικά τοποθετείται ειδικός πίνακας συντεταγμένων (Αγγλική Ονομασία Grid).Ο πίνακας αυτός είναι σε πλήρη συμφωνία με το λογισμικό και την σχεδίαση του προστάτη και των βλαβών με αποτέλεσμα ο Ουρολόγος να τοποθετεί την βελόνα λήψης βιοψιών με βάση τις οδηγίες του λογισμικού σε συγκεκριμένο σημείο που ανταποκρίνεται στην πράξη ακριβώς σε αυτό το σημείο του προστάτη στο σώμα του ασθενή.(Βλέπε Εικόνες 8 & 9) (Βίντεο 1)

Εικόνα 8: Πίνακας συντεταγμένων με γράμματα και αριθμούς που τοποθετείται στο περίνεο σε συμφωνία με τις εικόνες του υπερήχου και της μαγνητικής και στον οποίο ο ουρολόγος τοποθετεί με ακρίβεια χιλιοστού την βελόνα βιοψίας με βάση τον σχεδιασμό της βλάβης που έχει κάνει και τις οδηγίες του ειδικού λογισμικού που κατευθύνει την λήψη των δειγμάτων.

Εικόνα 9: Ο πίνακας συντεταγμένων και το διορθικό υπέρηχο τοποθετημένα στον ασθενή ενώ ο ουρολόγος τοποθετεί για κάθε βιοψία την βελόνα στις ειδικές μικρές τρύπες του πίνακα συντεταγμένων με βάση τις κατευθύνσεις που ορίζει το ειδικό λογισμικό της διαπερινεϊκής Fusion Βιοψίας προστάτη.
Βίντεο 1: Δείτε την στοχευμένη λήψη βιοψίας με βάση τις κατευθύνσεις του λογισμικού BiopSee.Ο ουρολόγος της ομάδας μας έχοντας ήδη σχεδιάσει τον προστάτη και την βλάβη στοχεύει στην βλάβη [F-10] τοποθετώντας την βελόνα στον πίνακα συντεταγμένων λαμβάνοντας με εξαιρετική ακρίβεια από το ζητούμενο σημείο.
-Δείγματα λαμβάνονται ξεχωριστά από κάθε ύποπτη περιοχή και αποστέλλονται ξεχωριστά στον παθολογοανατόμο με πλήρης περιγραφή των ευρημάτων της μαγνητικής για την συγκεκριμένη βλάβη και βέβαια την περιοχή λήψης του προστάτη από όπου προέρχεται.Το πλήθος των βιοψιών εξαρτάται από το μέγεθος της βλάβης καθώς και του προστάτη.(Βλ.Εικόνα 10)

Εικόνα 10: Δείγμα βιοψίας όπως φαίνεται στο υπέρηχο την στιγμή που την λαμβάνει ο ουρολόγος.Με κόκκινο είναι το περίγραμμα του προστάτη, με μπλε είναι το περίγραμμα της ύποπτης περιοχής και η βιοψία απεικονίζεται με τις πράσινες οριζόντιες γραμμές που είναι η βελόνα του ουρολόγου.Με τον τρόπο αυτό ο Ουρολόγος βλέπει σε πραγματικό χρόνο και γνωρίζει με ακρίβεια χιλιοστού από που λαμβάνει τις βιοψίες.
-Στον παθολογοανατόμο αποστέλνονται αναλυτικά τα δείγματα της βιοψίας ξεχωριστά με πλήρη περιγραφή των ευρημάτων της πολυπαραμετρικής μαγνητικής τομογραφίας προστάτη, της τιμής του PSA, των ευρημάτων της δακτυλικής και βέβαια των ευρημάτων παλαιοτέρων βιοψιών αν έχουν πραγματοποιηθεί.
-Μόλις ολοκληρωθεί η βιοψία τοποθετούνται πιεστικά ειδικές γάζες στην περιοχή του περινέου αποτρέποντας και το παραμικρό οίδημα και ο ασθενής οδηγείται στην ανάνηψη για μικρό χρονικό διάστημα(20-30 λεπτά).Εν συνεχεία οδηγείται στον θάλαμο όπου μετά από μια ώρα συνήθως αφαιρούνται οι γάζες.Μόλις ο ασθενής ουρήσει οι ουρολόγοι της ομάδας μας ενημερώνουν πλήρως και απλά για το πως εξελίχθηκε η βιοψία και κυρίως δίνονται αναλυτικές γραπτές οδηγίες για το τι να κάνει ο ασθενής μόλις γυρίσει σπίτι.Ο ασθενής συνήθως αναχωρεί μέσα σε δυο ώρες από την βιοψία και την ίδια μέρα μπορεί να λάβει γεύμα κανονικά και να κάνει μπάνιο.
Μετά τη διαδικασία:
-Οι οδηγίες αφορούν την αποφυγή έντονης σωματικής δραστηριότητας ή σεξουαλικής δραστηριότητας για κάποιες ημέρες.
-Οι ασθενείς μπορεί να αισθάνονται ήπια ενόχληση στο περίνεο
-Ενδεχομένως να βλέπουν τα ούρα τους ήπια ροζέ καθώς και επίσης το σπέρμα για μερικές μέρες
-Λαμβάνουν την αντιβίωση με βάση τις οδηγίες που έχουν δοθεί
-Η επανέναρξη των αντιπηκτικών γίνεται αναλόγως της περίπτωσης του προβλήματος υγείας για το οποίο λαμβάνονται και το είδος των αντιπηκτικών και δίνονται σαφείς και συγκεκριμένες οδηγίες για την επανέναρξη
-Το αποτέλεσμα της βιοψίας συνήθως είναι έτοιμο σε 5-7 μέρες, ενώ η ομάδα μας συνεργάζεται με εξειδικευμένο παθολογοανατομικό κέντρο με το οποίο έχει άμεση επικοινωνία και συζητά το κάθε περιστατικό ξεχωριστά.
Γιατί να επιλέξετε την ομάδα των Δρ.Ι Λεωτσάκου & τον Δρ.Ι. Καταφυγιώτη (Advanced Urology);
Η ομάδα μας πραγματοποιεί διαπερινεϊκές Fusion βιοψίες προστάτη από το 2018, έχοντας εκπαιδευτεί στα μεγαλύτερα κέντρα του κόσμου, το Hadassah University Hospital στο Ισραήλ και στην Πανεπιστημιακή Ουρολογική κλινική Carl Gustav Carus, στην Δρέσδη στην Γερμανία (κέντρα αναφοράς στην Ογκολογική Ουρολογία και στη Λιθίαση). Πλέον, με εμπειρία άνω των 800 βιοψιών, αποτελούμε πιστοποιημένο κέντρο αριστείας, αναγνωρισμένοι από τη γερμανική εταιρεία Medcom για την ποιότητα των υπηρεσιών που παρέχουμε, τις εξειδικευμένες γνώσεις και τις υψηλές προδιαγραφές φροντίδας.(Βλ Εικόνα 11)

Εικόνα 11: Πιστοποιημένο κέντρο αριστείας από το 2022.
Οι βιοψίες διενεργούνται σε κλινικό περιβάλλον, με βοήθεια από εξειδικευμένο προσωπικό με αυστηρό προσανατολισμό στην διαπερινεϊκή βιοψία προστάτη, παρέχοντας έτσι το υψηλότερο βαθμό ασφάλειας. Η ομάδα έχει αυστηρά κριτήρια και το κάθε στάδιο της διαδικασίας έχει ελεγχθεί και εφαρμόζεται με τον καλύτερο τρόπο για την επίτευξη ενός άριστου αποτελέσματος.
Η ομάδα μας έχει από τις μεγαλύτερες εμπειρίες ερμηνείας των εικόνων της πολυπαραμετρικής μαγνητικής τομογραφίας προστάτη και από τις μεγαλύτερες εμπειρίες χειρισμού του διαπερινεϊκού συστήματος BiopSee.
Αποτελείται από συγκεκριμένα μέλη (Δρ.Ι. Λεωτσάκο & Δρ.Ι.Καταφυγιώτη, αναισθησιολόγο, Παθολογοανατόμο, νοσηλευτή και γραμματέα) που ολοκληρώνουν την διαδικασία γρήγορα, άμεσα και αποτελεσματικά έχοντας τελειοποιήσει το κάθε βήμα της διαδικασίας.
Είμαστε κέντρο αναφοράς δύσκολων περιστατικών βιοψιών έχοντας την δυνατότητα να ανταποκριθεί στις ανάγκες της ιδιαιτερότητας του κάθε περιστατικού γνωρίζοντας τα απαραίτητα βήματα και τις προσαρμογές που πρέπει να γίνουν στον ασθενή και στο λογισμικό κατά την διάρκεια της βιοψίας ώστε να εξασφαλισθεί η λήψη στοχευμένης βιοψίας όσο δύσκολη και να είναι ανατομικά η προσέγγιση της ύποπτης περιοχής (μικρό όγκοι, πρόσθιες βλάβες, βλάβες σε μέσο λοβό, βλάβες σε μεταβατική ζώνη, βλάβες σε ασθενείς που έχουν υποβληθεί σε κοιλιοπερινεική εκτομή).
Συμμετέχουμε και διοργανώνουμε σεμινάρια & ημερίδες εκμάθησης της τεχνικής με διεθνή συμμετοχή συναδέλφων από όλη τη Νοτιοανατολική Ευρώπη , αλλά και Έλληνες συναδέλφους από όλες τις περιοχές της Ελλάδας όπου μοιραζόμαστε την εμπειρία μας και την τεχνική μας με άλλους συναδέλφους.
(Βλ εικόνα 12)

Εικόνα 12: Σεμινάριο διαπερινεϊκής Fusion βιοψίας προστάτη.
Προσπαθούμε να είμαστε πρωτοπόροι σε νέες τεχνικές στο πεδίο της υγειονομικής περίθαλψης, συμπεριλαμβανομένης της βιοψίας προστάτη και της διάγνωσης του καρκίνου. Έτσι είμαστε από τους πρώτους στην Ελλάδα που έχουμε εκπαιδευτεί και αποκτήσει εμπειρία στο ExactVu, το υπερηχογράφημα υψηλής ευκρίνειας (High-Definition Ultrasound) για την πραγματοποίηση διαπερινεϊκής στοχευμένης βιοψίας ΧΩΡΙΣ την χρήση πολυπαραμετρικής μαγνητικής τομογραφίας προστάτη σε ασθενείς που δεν είναι εφικτό να υποβληθούν σε μαγνητική, όπως σε περιπτώσεις βηματοδότη και μεταλλικών προθεμάτων, σε αλλεργίες στο σκιαγραφικό και σε κλειστοφοβία.(Βλ Εικόνα 12.)(Βίντεο 2)

Εικόνα 13: Σύστημα ExacVue υπέρηχος υψηλής ευκρίνειας για την λήψη στοχευμένων βιοψιών προστάτη σε ασθενείς που δεν μπορούν να υποβληθούν σε πολυπαραμετρική μαγνητική τομογραφία (Βηματοδότες,μεταλλικά προθέματα,αλλεργία σε σκιαγραφικό,κλειστοφοβία).Η ομάδα μας από της πρώτες στην Ελλάδα που εκπαιδεύτηκε και πραγματοποίησε βιοψίες με το νέο αυτό σύστημα.
Διορθική Βιοψία Προστάτη
Πως γίνεται η διορθική βιοψία;
Η διορθική βιοψία προστάτη (transrectal biopsy) είναι μια διαδικασία που περιλαμβάνει την λήψη δειγμάτων ιστού από τον προστάτη μέσω του ορθού (έντερο).Ο προστάτης βρίσκεται μπροστά από το έντερο και η περιφερική του ζώνη σε άμεση επαφή με το έντερο,ενώ η πρόσθια ζώνη και ο μέσος λοβός βρίσκονται μπροστά και σε επαφή με την ουροδόχο κύστη σε απόσταση από το έντερο καθιστώντας την προσέγγιση αυτών των περιοχών του προστάτη δύσκολη και πολλές φορές αδύνατη
Ο ασθενής συνήθως θα λάβει οδηγίες σχετικά με την προετοιμασία για τη διαδικασία, όπως η αποφυγή τροφών και τη διενέργεια κλύσματος (enema) πριν από τη βιοψία, σε αντίθεση με τη διαπερινεϊκή βιοψία, που αυτό δεν είναι απαραίτητο.
Μπορεί να του ζητηθεί να σταματήσει τη λήψη ορισμένων φαρμάκων, όπως αντιπηκτικά, πριν από τη διαδικασία, ενώ θα πρέπει να λάβει αντιβιοτική αγωγή, μετά και από δειγματοληπτικό έλεγχο υλικού από το ορθό, και πάλι σε αντίθεση με τη διαπερινεϊκή βιοψία, που αυτό δεν είναι απαραίτητο.
Ο ασθενής τοποθετείται σε κατάλληλη θέση, συνήθως σε πλάγια θέση, με τα γόνατα λυγισμένα και τοποθετημένα προς το στήθος.
Η περιοχή μπορεί να αναισθητοποιηθεί τοπικά για να μειωθεί ο πόνος και η δυσφορία κατά τη διάρκεια της διαδικασίας. Σε ορισμένες περιπτώσεις, μπορεί να χρησιμοποιηθεί και ήπια καταστολή.
Ένας υπερηχογράφος εισάγεται στο ορθό για να παρέχει εικόνες του προστάτη. Η υπερηχογραφική καθοδήγηση επιτρέπει την ακριβή λήψη των δειγμάτων.
Με μια ειδική βελόνα, που διέρχεται μέσω της κεφαλής υπερήχων, παρακεντούμε τον προστάτη δια του τοιχώματος του εντέρου, γεγονός που ενέχει αυξημένους κινδύνους (σε σχέση με τη διαπερινεϊκή βιοψία), όπως λοίμωξη ή αιμορραγία του εντέρου.
Παράλληλα λόγω της προσέγγισης του προστάτη από το έντερο η λήψη των δειγμάτων γίνεται κάθετα από τον προστάτη λαμβάνοντας μικρό δείγμα της περιφερικής ζώνης και άρα και της ύποπτης περιοχής σε αντίθεση με την διαπερινεϊκή βιοψία που λόγω της περινεϊκής προσέγγισης η λήψη γίνεται οριζόντια λαμβάνοντας όλο το μήκος της ύποπτης περιοχής.
Επίσης λόγω της διορθικής προσέγγισης πολλές πρόσθιες βλάβες ή βλάβες του μέσου λοβού ειδικά σε μεγάλους προστάτες δεν είναι δυνατόν να προσεγγιστούν με την διορθική πρόσβαση λόγω της απομακρυσμένης θέσης αυτών των περιοχών σε σχέση με το έντερο με αποτέλεσμα να μην μπορούν να ληφθούν δείγματα αν απαιτείται από αυτές τις περιοχές καθιστώντας την διορθική βιοψία λιγότερο αξιόπιστη. Στην διαπερινεϊκή βιοψία ωστόσο η λήψη ακόμα και από τις πρόσθιες ζώνες ή περιοχές είναι εύκολή και εφικτή καθώς ο προστάτης βρίσκεται σε ανατομική εγγύτητα με το περίνεο και όλες οι ζώνες του ακόμα και οι πρόσθιες είναι κοντά στο περίνεο και λαμβάνονται ευκολότερα καθιστώντας της διαπερινεϊκή πρόσβαση την πιο αξιόπιστη τεχνική.

Εικόνα 2: Η πρόσβαση από το περίνεο αποφεύγει το έντερο και είναι εφικτό να στοχεύσει ακόμα και βλάβες απομακρυσμένες όπως στην πρόσθια ζώνη και στον μέσο λοβό Συνολικά, η διαπερινεϊκή πρόσβαση είναι μια χρήσιμη επιλογή στη βιοψία προστάτη και προσφέρει πλεονεκτήματα όσον αφορά την ασφάλεια και την ακρίβεια. Η πρόσβαση από το περίνεο αποφεύγει το έντερο και είναι εφικτό να στοχεύσει ακόμα και βλάβες απομακρυσμένες όπως στην πρόσθια ζώνη και στον μέσο λοβό. Συνολικά, η διαπερινεϊκή πρόσβαση είναι μια χρήσιμη επιλογή στη βιοψία προστάτη και προσφέρει πλεονεκτήματα όσον αφορά την ασφάλεια και την ακρίβεια.
Υπάρχει η δυνατότητα στοχευμένης διορθικής βιοψίας(Fusion) με την χρήση πολυπαραμετρικής μαγνητικής τομογραφίας προστάτη
Η απλή διορθική βιοψία προστάτη που αποτελούσε την πρώτη επιλογή για την βιοψία προστάτη περίπου πριν 10 χρόνια πραγματοποιούνταν με την λήψη τυχαίων δειγμάτων προστάτη μέσω του εντέρου. Τυχαία δείγματα σημαίνει πως στην ουσία ο ουρολόγος με το διορθικό υπέρηχο μέσω του εντέρου έβλεπε τον προστάτη και τις διάφορες ανατομικές περιοχές του και λάμβανε 12 δείγματα προστάτη 6 από τον δεξί λοβό και 6 από τον αριστερό λαμβάνοντας 2 από την κορυφή (κεντρικά και περιφερικά), 2 από την μεσότητα του προστάτη (ομοίως κεντρικά και περιφερικά) και 2 από την βάση του προστάτη (ομοίως κεντρικά και περιφερικά).Τα δείγματα αυτά στην ουσία περιλάμβαναν τις 3 ανατομικές περιοχές του προστάτη (βάση, μεσότητα, κορυφή) κεντρικά και περιφερικά αλλά ήταν τυχαία και ο ουρολόγος δεν στόχευε σε συγκεκριμένη ύποπτη περιοχή. (Βλέπε Εικόνα 1)

Εικόνα 1: Σχεδιάγραμμα λήψης τυχαίων συστηματικών βιοψίων προστάτη από το έντερο (Απλή διορθική βιοψία προστάτη).
Με την εισαγωγή της πολυπαραμετρικής μαγνητικής τομογραφίας προστάτη και την δυνατότητα εύρεσης ύποπτων περιοχών για καρκίνο του προστάτη ο ουρολόγος με την χρήση του ειδικού λογισμικού μπορεί διορθικά να προβεί σε στοχευμένη λήψη δειγμάτων από τον προστάτη.Δηλαδή με την χρήση διεγχειρητικά της πολυπαραμετρικής μαγνητικής τομογραφίας προστάτη γίνεται σύντηξη των εικόνων του υπερήχου με την μαγνητική και ο ουρολόγος σχεδιάζει τις ύποπτες περιοχές του προστάτη και λαμβάνει βιοψίες από αυτές αυξάνοντας την διαγνωστική ακρίβεια της τεχνικής
Ωστόσο η στοχευμένη διορθική fusion βιοψία προστάτη αν και καλύτερη και πιο ακριβής από την απλή βιοψία προστάτη, μειονεκτεί σαφώς σε σχέση με την διαπερινεϊκή fusion βιοψία προστάτη.Τα μειονεκτήματα είναι ότι η διορθική και πάλι έχει αυξημένο κίνδυνο σοβαρών λοιμώξεων, καθώς γίνεται μέσω μίας ρυπαρής περιοχής γεμάτης κοπράνων του εντέρου, ενώ παράλληλα γίνεται τραυματισμός του εντέρου με πιθανότητα αιμορραγίας αυτού.
Δεύτερον η διορθική βιοψία προστάτη ακόμα και η στοχευμένη δεν μπορεί εύκολα να προσεγγίσει βλάβες που αναδεικνύει η μαγνητική ακόμα και αν τις βλέπει ο ουρολόγος όταν αυτές βρίσκονται στην πρόσθια ζώνη ή στον μέσο λοβό καθιστώντας λιγότερο αξιόπιστη από την διαπερινεϊκή βιοψία προστάτη.
Αν έχω μικρή βλάβη στην πρόσθια ζώνη ή στον μέσο λοβό μπορώ με την διορθική βιοψία να εξασφαλίσω την λήψη; (Βλ. Εικόνα 2)
Η διορθική βιοψία προστάτη (transrectal biopsy) είναι μια, δυστυχώς ακόμη, κοινώς χρησιμοποιούμενη μέθοδος για τη λήψη δειγμάτων από τον προστάτη. Ωστόσο, η αποτελεσματικότητα και η ακρίβειά της μπορεί να διαφοροποιούνται ανάλογα με την τοποθεσία της βλάβης:
-Μικρές Βλάβες στην Πρόσθια Ζώνη ή στον Μέσο Λοβό: Αυτές οι περιοχές μπορεί να είναι πιο δύσκολες να στοχευθούν με μια διορθική βιοψία. Η προσπέλαση από το ορθό μπορεί να μην παρέχει πάντα τη δυνατότητα να ληφθούν δείγματα από αυτές τις συγκεκριμένες περιοχές αν υπάρχουν μικρές ή δυσδιάκριτες βλάβες.
-Ακρίβεια: Οι διορθικές βιοψίες μπορεί να έχουν περιορισμένη ακρίβεια σε περιπτώσεις ασθενών με βλάβες που βρίσκονται σε δύσκολες για το ορθό προσβάσιμες περιοχές. Υπάρχει πιθανότητα να μην εντοπιστεί η βλάβη ή να μη ληφθεί αντιπροσωπευτικός ιστός.

Εικόνα 2: Βλάβη σε μέσο λοβό που όπως απεικονίζεται βρίσκεται απομακρυσμένα από το έντερο με αποτέλεσμα να είναι δύσκολή η διορθική προσέγγιση των ύποπτων αυτών περιοχών καθιστώντας την τεχνική αυτή λιγότερο αξιόπιστη για την δειγματοληψία βλαβών σε μέσο λοβό και πρόσθια ζώνη
Ποια τα μειονεκτήματα της διορθικής βιοψίας;
Με τον πιο εμφατικό τρόπο, οι οδηγίες της Ευρωπαϊκής Ουρολογικής Εταιρείας ορίζουν την διαπερινεϊκή προσπέλαση για βιοψίες προστάτη, ως την προσπέλαση επιλογής. Οι βιοψίες δια του ορθού (έντερο) ΠΡΕΠΕΙ ΝΑ ΕΓΚΑΤΑΛΕΙΦΘΟΥΝ ΠΑΡΑ ΤΟ ΟΠΟΙΟΔΗΠΟΤΕ ΚΟΣΤΟΣ (Παράγραφος 5.2.8.1 Ευρωπαϊκής Οδηγίας – eau Guidelines 2022).
Η βιοψία προστάτη είναι μια ΕΠΕΜΒΑΤΙΚΗ διαγνωστική μέθοδος με, δυνητικά, σοβαρές επιπλοκές, τα ποσοστά των οποίων μειώνονται σαφώς όταν διενεργείται ΔΙΑΠΕΡΙΝΕΪΚΗ βιοψία από ουρολόγους κατάλληλα εκπαιδευμένους και με τον κατάλληλο εξοπλισμό.
Σε αντίθετη περίπτωση, ο ασθενής ΠΡΕΠΕΙ να ενημερώνεται από τον ουρολόγο του πως για τη διορθική προσπέλαση:
– Συστήνεται προηγουμένως καλλιέργεια κοπράνων
– Πρέπει να γίνει προετοιμασία του εντέρου με ιωδιούχο διάλυμα
– Πρέπει να χορηγηθούν αντιβιοτικά βάσει των προηγουμένων καλλιεργειών και να ΑΠΟΦΕΥΓΟΝΤΑΙ οι κινολόνες.
Τα μειονεκτήματα της Διορθικής βιοψίας συνεπώς είναι τα εξής: (Βλ.Εικόνα 3)
1.Τραυματισμός εντέρου.
2.Αιμορραγία από τον τραυματισμό εντέρου.
3.Καθιστά πιο δύσκολη την ριζική προστατεκτομή σε περιπτώσεις καρκίνου του προστάτη (Θετική βιοψία προστάτη) λόγω ακριβώς της διαταραχής της ανατομίας της περιοχής με τον τραυματισμό του εντέρου.
4.Σοβαρή ουρολοίμωξη έως και σήψη λόγω της λήψης δειγμάτων μέσω του εντέρου δηλαδή μίας ρυπαρής περιοχής γεμάτης κόπρανα και μικρόβια.
5.Δυσκολία λήψης δειγμάτων σε περιοχές δύσκολα προσβάσιμες από το έντερο όπως σε βλάβες της πρόσθιας ζώνης του προστάτη ή του μέσου λοβού με αποτέλεσμα η πρόσβαση από το έντερο να είναι λιγότερο ακριβής και αξιόπιστη σε σχέση με την περινεϊκή πρόσβαση που είναι εφικτή η λήψη δειγμάτων από οποιαδήποτε περιοχή του προστάτη χωρίς περιορισμούς.
6.Στην απλή διορθική βιοψία η λήψη των δειγμάτων γίνεται χωρίς την στόχευση της πολυπαραμετρική μαγνητικής τομογραφίας προστάτη με αποτέλεσμα να είναι εντελώς τυχαία χωρίς να απεικονίζονται οι ύποπτες περιοχές με αποτέλεσμα να μειώνεται ακόμα περισσότερο η διαγνωστική της ακρίβεια και η αξιοπιστία της.
7.Ακόμα και η στοχευμένη Fusion διορθική βιοψία προστάτη μειονεκτεί της διαπερινεϊκής fusion βιοψίας προστάτη λόγω πάλι της αυξημένης πιθανότητας ουρολοίμωξης και σήψης λόγω της παρουσίας κοπράνων και μικροβίων, ενώ παράλληλα τραυματίζεται το έντερο με αυξημένη πιθανότητα αιμορραγίας με την διορθική και τέλος μειονεκτεί λόγω της δυσκολίας πρόσβασης σε ύποπτες περιοχές που βρίσκονται στην πρόσθια ζώνη και στον μέσο λοβό του προστάτη σε αντίθεση με την διαπερινεϊκή που μπορεί.

Εικόνα 3: Διαπερινεϊκή και διορθική πρόσβαση βιοψίας προστάτη. Απεικονίζεται η πρόσβαση από το έντερο της διορθικής βιοψίας με τραυματισμό του εντέρου(αιμορραγία) , με αυξημένη πιθανότητα λοίμωξης (Κόπρανα), λήψης μικρών δειγμάτων λόγω της κάθετης πρόσβασης και δυσκολία προσέγγισης των πρόσθιων απομακρυσμένων βλαβών.
Ο Ρόλος της Πολυπαραμετρικής Μαγνητικής Τομογραφίας Προστάτη
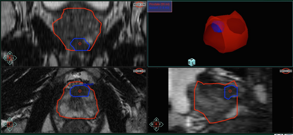
Πώς βοηθάει η πολυπαραμετρική μαγνητική στη διάγνωση του καρκίνου του προστάτη και στη βιοψία; (Βλ. Εικόνα 1)
Η πολυπαραμετρική μαγνητική τομογραφία προστάτη (mpMRI) είναι μια προηγμένη τεχνική απεικόνισης που χρησιμοποιείται για την ανίχνευση και αξιολόγηση του καρκίνου του προστάτη. Παρέχει λεπτομερείς εικόνες του προστάτη και των γύρω ιστών, βοηθώντας τους γιατρούς να καθοδηγήσουν τις βιοψίες. Ο ρόλος της πολυπαραμετρικής μαγνητικής τομογραφίας προστάτη στην βιοψία προστάτη και γενικότερα στις παθήσεις του προστάτη είναι σημαντικός και συμβάλλει ουσιαστικά ως εξής.
Α) Καθορίζει σε σημαντικό βαθμό ποιοι ασθενείς θα κάνουν βιοψία προστάτη: Ασθενείς που έχουν κλινική υποψία για καρκίνο του προστάτη (πχ PSA που αυξάνεται), υποβάλλονται σε πολυπαραμετρική μαγνητική τομογραφία προστάτη και αν η πολυπαραμετρική μαγνητική τομογραφία προστάτη αναδείξει μεγάλη υποψία για καρκίνο του προστάτη (PIRADS 5 & 4 και σε ορισμένες περιπτώσεις και PIRADS 3) τότε ο ασθενής πρέπει να υποβληθεί σε βιοψία προστάτη
Β) Ακριβέστερη ανίχνευση όγκων: Η mpMRI μπορεί να αναδείξει ύποπτες περιοχές που μπορεί να μην είναι ορατές σε άλλες μορφές απεικόνισης, βοηθώντας στον ακριβέστερο εντοπισμό του καρκίνου.
Γ) Ακριβέστερη καθοδήγηση: Οι ουρολόγοι μπορούν να χρησιμοποιήσουν τα αποτελέσματα της mpMRI για να κατευθύνουν τις βιοψίες σε συγκεκριμένες ύποπτες περιοχές, αυξάνοντας έτσι την ακρίβεια της διάγνωσης.
Δ) Μείωση των περιττών βιοψιών: Βοηθά στον εντοπισμό περιπτώσεων όπου η βιοψία μπορεί να μην είναι απαραίτητη, με αποτέλεσμα τη μείωση των περιττών επεμβάσεων.
Ε) Σχεδιασμού της θεραπείας: Η λεπτομερής απεικόνιση βοηθά στο σχεδιασμό της κατάλληλης θεραπείας αναλόγως με την έκταση και την επιθετικότητα του όγκου.
Συνολικά, η mpMRI είναι ένα πολύτιμο εργαλείο για τη βελτίωση της διάγνωσης και της θεραπείας του καρκίνου του προστάτη.
Είναι σημαντικό να τονιστεί ότι η πολυπαραμετρική μαγνητική τομογραφία προστάτη είναι ειδική εξέταση που συμβάλλει στην αναγκαιότητα πραγματοποίησης βιοψίας προστάτη και δεν είναι η ίδια εξέταση με την απλή μαγνητική τομογραφία προστάτη. Η απλή μαγνητική τομογραφία προστάτη δεν είναι ικανή να συμβάλει ούτε στην διάγνωση, ούτε στην στόχευση της βιοψίας και έχει διαφορετικό διαγνωστικό ρόλο.

Εικόνα 1: Σχεδιασμός του προστάτη (κόκκινο σχεδιάγραμμα) και σχεδιασμός της βλάβης (μπλε σχεδιάγραμμα).Με τον τρόπο αυτό σχεδιάζεται η βλάβη και ο ουρολόγος εν συνεχεία με την Fusion βιοψία προστάτη λαμβάνει στοχευμένες βιοψίες (Εικόνα από την συλλογή της Medcom).
Πότε θα κάνω βιοψία με βάση την πολυπαραμετρική μαγνητική τομογραφία προστάτη;
Η απόφαση για το πότε θα γίνει βιοψία προστάτη βασιζόμενη στη πολυπαραμετρική μαγνητική τομογραφία του προστάτη (mpMRI) εξαρτάται από διάφορους παράγοντες και η απόφαση θα πρέπει να λαμβάνεται από τον ουρολόγο σας, που λαμβάνει υπόψη τα εξής:
- Αποτελέσματα της mpMRI: Εάν η πολυπαραμετρική μαγνητική τομογραφία δείξει ύποπτες περιοχές στον προστάτη, ο γιατρός μπορεί να συστήσει βιοψία για να επιβεβαιώσει την ύπαρξη ή όχι καρκινικών κυττάρων.Ύποπτες για καρκίνο προστάτη περιοχές θεωρούνται οι βλάβες κατηγορίας PIRADS 5 & PIRADS 4 και σε αυτές τις ύποπτες περιοχές θα πρέπει πάντα γίνεται βιοψία προστάτη.
Στην κατηγορία PIRADS 3 μπορεί και πάλι να γίνει βιοψία προστάτη λαμβάνοντας υπόψιν ωστόσο και άλλους παράγοντες που θα κρίνουν την αναγκαιότητα για βιοψία όπως για παράδειγμα αν έχει προηγηθεί βιοψία, ο ρυθμός αύξησης του PSA.
Είναι αναγκαίο να τονιστεί πως η Πολυπαραμετρική μαγνητική τομογραφία αν και αποτελεί βασικό κριτήριο για την πραγματοποίηση ή όχι μίας βιοψίας προστάτη δεν είναι το μοναδικό κριτήριο και η αναγκαιότητα για βιοψία κρίνεται και από τα εξής:
- Επίπεδα PSA: Αυξημένα επίπεδα του ειδικού προστατικού αντιγόνου (PSA) μπορεί να υποδηλώνουν την ανάγκη για περαιτέρω διερεύνηση μέσω βιοψίας.
- Κλινική εξέταση δακτυλικής:Η θετική δακτυλική όπου ο ουρολόγος μπορεί να ψηλαφήσει ύποπτη σκληρή περιοχή αποτελεί ένδειξη για βιοψία προστάτη ανεξάρτητα από το αποτελέσματα της πολυπαραμετρικής μαγνητικής τομογραφίας προστάτη
- Ιστορικό και Συμπτώματα: Ο γιατρός σας θα εξετάσει τυχόν υπάρχοντα συμπτώματα ή οικογενειακό ιστορικό καρκίνου του προστάτη που μπορεί να επηρεάσει την απόφαση για βιοψία.
- Προηγούμενες Βιοψίες: Εάν έχουν προηγηθεί βιοψίες που ήταν αρνητικές, αλλά ανησυχητικά ευρήματα συνεχίζουν να υπάρχουν, μπορεί να χρειαστεί επαναληπτική αξιολόγηση.
Ο γιατρός σας θα συζητήσει τους πιθανούς κινδύνους και τα οφέλη της διενέργειας βιοψίας με βάση τα παραπάνω δεδομένα και θα σας συμβουλεύσει ανάλογα με τη συγκεκριμένη περίπτωση.
Τι είναι η κατάταξη PIRADS;
Η κατάταξη PIRADS (Prostate Imaging Reporting and Data System) είναι ένα σύστημα που αναπτύχθηκε για την τυποποίηση της αξιολόγησης και της αναφοράς των ευρημάτων από την πολυπαραμετρική μαγνητική τομογραφία (mpMRI) του προστάτη. Το σύστημα αυτό βοηθάει στην εκτίμηση της πιθανότητας ύπαρξης κλινικά σημαντικού καρκίνου του προστάτη.
Το PIRADS χρησιμοποιεί μια κλίμακα από 1 έως 5:
- PIRADS 1: Πολύ χαμηλή πιθανότητα καρκίνου. Οι αλλοιώσεις είναι σχεδόν σίγουρα καλοήθεις.
- PIRADS 2: Χαμηλή πιθανότητα καρκίνου. Οι αλλοιώσεις είναι πιθανότερο να είναι καλοήθεις παρά κακοήθεις.
- PIRADS 3: Ένδειξη αμφιβολίας. Οι αλλοιώσεις έχουν ασαφή χαρακτηριστικά και η πιθανότητα καρκίνου είναι απούσα ή ίση με την πιθανότητα καλοήθους ανωμαλίας.
- PIRADS 4: Υψηλή πιθανότητα καρκίνου. Οι αλλοιώσεις είναι ύποπτες για κακοήθεια.
- PIRADS 5: Πολύ υψηλή πιθανότητα καρκίνου. Οι αλλοιώσεις είναι σχεδόν σίγουρα κακοήθεις.
Η κατάταξη αυτή βοηθά τους κλινικούς ιατρούς στη λήψη αποφάσεων σχετικά με την ανάγκη για περαιτέρω διερεύνηση, όπως η διενέργεια βιοψίας, και στον καθορισμό της κατάλληλης θεραπευτικής αντιμετώπισης.
Πότε θα κάνω βιοψία με βάση το PIRADS;
Η απόφαση για τη διενέργεια βιοψίας προστάτη με βάση την κατάταξη PIRADS εξαρτάται από την εκτίμηση του γιατρού σας, αλλά γενικά ακολουθούνται οι παρακάτω κατευθύνσεις:
PIRADS 4 ή 5: Εάν η κατάταξη είναι PIRADS 4 ή 5, αυτό υποδηλώνει υψηλή ή πολύ υψηλή πιθανότητα ύπαρξης κλινικά σημαντικού καρκίνου του προστάτη. Σε αυτές τις περιπτώσεις, συχνά συστήνεται βιοψία για να επιβεβαιωθεί ή να αποκλειστεί η διάγνωση.
PIRADS 3: Εάν η κατάταξη είναι PIRADS 3, η απόφαση για βιοψία δεν είναι πάντα άμεση. Ο γιατρός σας μπορεί να προτείνει παρακολούθηση ή επιπλέον εξετάσεις, ανάλογα με άλλους παράγοντες όπως το ιστορικό PSA, ηλικία, γενική υγεία και συμπτώματα.
PIRADS 1 ή 2: Σε περιπτώσεις PIRADS 1 ή 2, όπου η πιθανότητα καρκίνου είναι χαμηλή, συνήθως δεν απαιτείται βιοψία, και μπορεί να συστηθεί παρακολούθηση.
Είναι σημαντικό να συζητήσετε με τον γιατρό σας τα αποτελέσματα της mpMRI και την κλινική σας εικόνα για να ληφθεί η καλύτερη απόφαση σχετικά με τη βιοψία.
Χρειάζεται βιοψία αν έχω κατηγορία PIRADS 1 ή 2;
Συνήθως, δεν χρειάζεται βιοψία αν έχετε PIRADS 1 ή 2, καθώς αυτές οι κατατάξεις υποδηλώνουν πολύ χαμηλή ή χαμηλή πιθανότητα ύπαρξης καρκίνου του προστάτη.
Συγκεκριμένα:
PIRADS 1: Πολύ χαμηλή πιθανότητα καρκίνου. Οι αλλοιώσεις είναι σχεδόν σίγουρα καλοήθεις.
PIRADS 2: Χαμηλή πιθανότητα καρκίνου. Οι αλλοιώσεις είναι πιθανότερο να είναι καλοήθεις παρά κακοήθεις.
Σε αυτές τις περιπτώσεις, οι γιατροί συχνά προτείνουν παρακολούθηση αντί για άμεση βιοψία. Ωστόσο, είναι πάντα σημαντικό να συζητήσετε τα προσωπικά σας αποτελέσματα και τη γενική σας υγεία με τον ουρολόγο σας, ο οποίος μπορεί να προτείνει την κατάλληλη προσέγγιση ανάλογα με τα επίπεδα του PSA ή τη δακτυλική εξέταση.
Παιζει ρόλο η ποιότητα της πολυπαραμετρικής μαγνητικής τομογραφίας προστάτη;
Ναι, η ποιότητα της πολυπαραμετρικής μαγνητικής τομογραφίας (mpMRI) του προστάτη παίζει σημαντικό ρόλο στην ακρίβεια της διάγνωσης και στην αξιολόγηση πιθανών όγκων. Ακολουθούν μερικοί τρόποι με τους οποίους η ποιότητα της απεικόνισης επηρεάζει τα αποτελέσματα:
- Διακριτική Ικανότητα: Μια υψηλής ποιότητας mpMRI μπορεί να αναδείξει λεπτομέρειες και ανωμαλίες στον ιστό του προστάτη, επιτρέποντας στους γιατρούς να εντοπίσουν ύποπτες περιοχές πιο εύκολα.
- Ακρίβεια Ερμηνείας: Όταν οι εικόνες είναι καθαρές και χωρίς τεχνικές δυσκολίες, οι ειδικοί είναι σε θέση να κάνουν πιο ακριβείς διαγνώσεις και να αποκλείσουν άλλες παθήσεις.
- Σωστή κατάταξη PIRADS: Η ποιότητα της απεικόνισης επηρεάζει την ακρίβεια της κατάταξης PIRADS. Οι καλές εικόνες διευκολύνουν τη σωστή διάκριση ανάμεσα σε καλοήθεις και κακοήθεις αλλοιώσεις.
- Καθοδήγηση Βιοψίας: Η ποιότητα της mpMRI είναι κρίσιμη για την ακριβή καθοδήγηση της βιοψίας, καθώς δημιουργεί σιγουριά στους γιατρούς σχετικά με το πού να στοχεύσουν.
Ως εκ τούτου, είναι πολύ σημαντικό να γίνονται οι εξετάσεις σε καλά εξοπλισμένα κέντρα με έμπειρους τεχνικούς και ιατρούς, ώστε να διασφαλιστεί η καλύτερη δυνατή ποιότητα της mpMRI.